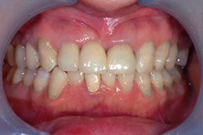
従来のコンポジットレジンは構成しているフィラ粒子が直径400~600ナノメーターであるため、使用により削られる部分も大きく、表面性状が損なわれて輝きが失なわれ、色素やプラークが付着することにより黄ばんで変色してきます。
それに対し、保険適用外の最新のナノフィラーは直径4~20ナノメーターの超微粒子の為、重合収縮率が小さく、従来の欠点を補い歯の色調に合わせた36種類の材質を時間と手間のかかる難易度の高い積層充填法を用いて、限りなく天然歯に近い滑沢な自然感のある歯にもどす事ができます。
又、臼歯(奥歯)にも用いる事ができる為、最小限の削合により歯にやさしい治療となります。
※1ナノ=100万分の1ミリ

術前
術後
術前
術後
術前
術後
術前
術後
術前
術後
| 前歯 | 唇側面 | ¥9,720 | |
| 隣接面 | 1ヶ所 | ¥12,960 | |
| 2ヶ所 | ¥15,120 | ||
| 切断破折 | ¥17,280 | ||
| 小臼歯 | 頬側面 | ¥17,280 | |
| 隣接面 | 1ヶ所 | ¥27,000 | |
| 2ヶ所 | ¥32,400 | ||
| 大臼歯 | 頬側面 | ¥17,280 | |
| 隣接面 | 1ヶ所 | ¥32,400 | |
| 2ヶ所 | ¥37,800 | ||
オールセラミックは、審美性と耐久性に優れ、金属をまったく使用しないために金属アレルギーのある方に最も適しています。
透過性にも優れているので審美的に高い要求の求められる前歯部に使用されることが多いです。
術前・前歯
術後・前歯
術前・前歯
術後・前歯
術前・上顎
術後・上顎
術前・下顎
術後・下顎
オールセラミックの治療費については、治療費についてのページをご覧ください。