歯内療法は大きく分けて、抜髄根管治療と感染根管治療があります。どちらも歯の中の神経の管を機械的に、また化学的に清掃する治療です。
根管治療とは、例えて言えば、自宅を建築する場合の基礎工事つまりコンクリート内の鉄筋のような物です。したがってレントゲンで診断しない限り、外観では治療の善し悪しは、判断できません。繊細な注意力と技術がこの処置では要求されるものなのですが、外観から見えないために、術者が誠心誠意を傾けて治療しても報われないケースもあります。
う蝕(虫歯)により歯髄が組織損傷、細菌感染を受け、歯髄の保存ができない場合には、歯髄組織を残さないように、また根尖のセメント質、歯根膜組織を傷つけないように治療することが重要です。
細心の処置によって、歯髄を除いた2-3日後は、硬いものを咬むと軽い痛みはありますが、その後は非特異的炎症反応が起こり、線維性・硬組織性瘢痕治癒によって歯周組織は安定してきます。
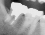
抜髄根管治療症例(1) 女性Hさま

H11.10.08
治療前

H11.10.22
根充後

H18.05.08
治療後7年
抜髄根管治療症例(2) 女性Kさま

H16.04.26
治療前

H16.05.21
根充後

H18.06.17
治療後2年
歯髄が細菌により汚染されますと、根尖孔周囲の歯根膜や歯槽骨に細菌感染に由来する炎症性変化が波及し、やがてレントゲン上で確認できる病巣(不良肉芽組織)ができます。これらの治療は、抜髄処置と同様に根管内汚染物質を針のようなリーマとファイルによって完全に取り除くことです。
この処置は、高度な技術を要しますが、適切な感染根管治療によって、根尖部の肉芽組織は、改善され線維化が進み、一旦は肉芽化された歯槽骨が再生されて明瞭な骨梁がレントゲン上で確認できるようになります。
感染根管治療症例(1) 女性Tさま

H08.01.19
治療前

H08.04.26
根充後

H18.05.27
治療後10年
感染根管治療症例(2) 女性Nさま

H16.11.29
治療前

H16.12.28
根尖病変部にビタペックスを注入

H17.01.07
根充後

H18.02.08
治療後1年
感染根管治療症例(3) 男性Oさま

H14.10.12
治療前

H14.10.26
根尖病変部にビタペックスを注入

H14.11.05
根充後

H18.05.31
治療後4年
症例(1)

術前

術後
症例(2)

術前

術後
症例(3)

術前

術後
症例(4)

術前

術後
症例(5)

術前

術後
症例(6)

術前

術後
症例(7)

術前

術後
症例(8)

術前

術後
症例(9)

術前

術後